
임플란트 시술과정의 이해
임플란트 과정은 치아가 손실되거나 빠진 경우 이를 대체하기 위해 인공 치아를 식립하는 치료 방법입니다. 이 과정은 단순하지 않으며 여러 단계로 나뉩니다. 임플란트 시술과정은 치과 의사와 환자 간의 원활한 소통이 중요합니다. 진단 후, 환자의 치아와 잇몸 상태를 확인하기 위한 여러 검사 과정이 선행됩니다. 이 검사를 통해 최적의 치료 계획을 수립하게 됩니다.

임플란트 수술과정의 첫 단계는 환자의 건강 상태와 구강 구조를 종합적으로 검사하는 것입니다. 이를 통해 치아, 잇몸, 그리고 인접한 조직의 건강 상태를 파악할 수 있습니다. 만약 뼈의 밀도가 충분하지 않다면, 뼈 이식을 고려해야 할 수도 있습니다. 이러한 과정을 통해 치료의 성공 확률을 높일 수 있습니다.


이후 치과는 환자의 개별적인 상황에 따라 맞춤형 치료 계획을 세웁니다. 상담 후, 환자가 동의하면 실제 임플란트 시술에 들어가게 됩니다. 이 시점에서 환자의 불안감을 덜어주기 위해 시술의 진행 과정과 예상되는 결과에 대해 교육하는 것이 중요합니다. 이렇게 환자가 과정에 대해 이해하고 준비하게 되면, 흡연, 음주 등 치료에 악영향을 주는 요소에 대한 경각심을 가질 수 있습니다.
임플란트 식립과정에 대한 상세 설명
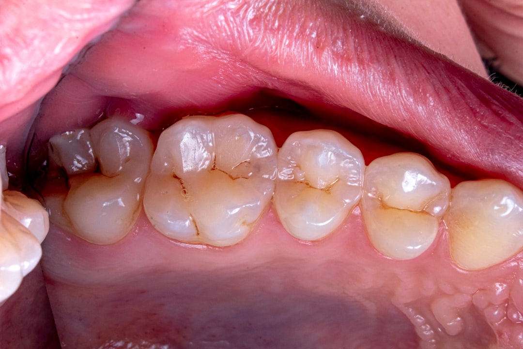
임플란트 과정의 식립은 여러 단계로 나누어지며, 각 단계에서는 환자의 체형에 맞춘 접근이 필요합니다. 첫 번째 단계는 임플란트를 식립할 잇몸 부위를 준비하는 것입니다. 이를 위해 마취가 진행되며, 환자는 통증을 느끼지 않게 됩니다. 마취가 완료된 후, 잇몸을 절개해 뼈 아래에 있는 공간에 임플란트를 심는 방법으로 진행됩니다.
임플란트를 심은 후, 주변 뼈와의 융합 과정을 거쳐야 합니다. 이 과정을 '오스테오인테그레이션'이라고 하며, 약 3개월에서 6개월까지 걸릴 수 있습니다. 이 기간 동안 환자는 정기적으로 병원을 방문하여 체크업을 받으며, 잘 치유되고 있는지를 점검합니다. 이 과정이 끝난 후, 임플란트 위에 보철물을 장착하는 단계로 넘어갑니다.
생각보다 긴 과정이네요, 하지만 이 모든 단계를 잘 견뎌낸다면 결국 자신의 치아처럼 편안한 생활을 누릴 수 있습니다. 또한, 최신 기술을 이용한 빠른 회복 방법이 많아졌으니, 걱정하지 않으셔도 됩니다. 현대 치과 치료의 발전 덕분에 성공률이 높아졌으며, 치료 후의 만족도 또한 증가했습니다.
임플란트 보철과정 및 비용
임플란트 보철과정은 임플란트 식립이 끝난 후 실제 치아와 유사한 보철물을 만드는 단계입니다. 이 단계에서는 관상 또는 보철물의 디자인과 맞춤화를 중요한 요소로 다룹니다. 환자의 구강 구조와 뼈의 상태를 고려하여 최적의 보철물 세팅이 이루어지게 됩니다. 보철가는 임플란트 과정의 마지막 단계를 구성하며, 최종 결과물의 미적 요소와 기능적 요소를 모두 포함하고 있습니다.
임플란트 과정의 비용은 종류와 재료, 그리고 치료가 들어가는 전체 과정에 따라 달라지며, 임플란트 치료는 일반적으로 높은 비용을 요구합니다. 당연히 보험 적용 여부에 따라 달라질 수 있다는 점도 주목할 만합니다. 따라서 사전에 예상 비용을 확인하고, 여러 병원을 비교해보는 것이 중요합니다. 정직한 비용 구조와 어떤 절차가 포함되는지에 대한 정보는 환자에게 매우 유용한 정보입니다.



임플란트 시술과정의 총 소요 시간
임플란트 시술기간은 개인의 잇몸과 뼈의 상황에 따라 다르지만, 일반적으로 6개월에서 1년의 시간이 소요될 수 있습니다. 초기 검진에서 치료 완료까지 이르는 시간은 여러 요소에 좌우되며, 뼈 이식이 필요한 경우 더 길어질 수 있습니다. 그러나 오늘날의 기술은 이러한 과정을 더욱 효율적으로 만들어 줍니다.
예약 및 치료 일정을 수립하면서 본인의 일정과 진행 시간을 조율해 보세요. 주말이나 평일, 자신의 생활 패턴에 맞춰 일정을 맞출 수 있는 다양한 서비스를 제공하는 병원이 많습니다. 모든 과정은 프로페셔널한 의료진이 함께하며, 당신이 편안함과 안전함을 느낄 수 있도록 도와주기 때문에 안심하셔도 좋습니다.
임플란트 치료과정 FAQ
Q: 임플란트 치료는 아프나요?
치료 중 마취가 이루어지므로, 시술 자체는 통증 없이 진행됩니다. 시술 후 통증은 약간 있을 수 있으나, 진통제를 통해 관리할 수 있습니다.
Q: 임플란트 시술 후 회복 기간은 얼마나 걸리나요?
임플란트의 식립 후 보통 3~6개월의 회복 기간이 필요한데, 이는 개인의 뼈 밀도와 건강 상태에 따라 달라질 수 있습니다.
Q: 임플란트 비용은 대체로 얼마인가요?
임플란트의 전체 비용은 지역과 병원, 시술의 난이도에 따라 다르지만, 일반적으로 100만원에서 200만원 가량 소요됩니다.



추천 글
정읍 벚꽃 명소 탐방, 축제 정보와 포토스팟 총정리
1. 정읍 벚꽃 명소 소개정읍 벚꽃 명소는 매년 봄이 되면 많은 관광객을 끌어들이는 주요 장소입니다. 이곳의 벚꽃은 자태가 아름답고, 만개한 순간에는 마치 꿈속에 있는 듯한 황홀한 풍경을 제
geowin200.jhcin.kr
넷플릭스 이용 가구 필독 계정 공유 제한 해법은?
넷플릭스 이용 가구 업데이트: 변화의 시대최근 넷플릭스 이용 가구에 대한 정책이 변화하고 있습니다. 더 이상 무관심하게 계정을 공유할 수 있는 시대는 가고, 넷플릭스는 계정의 안정성을 보
geowin200.jhcin.kr
창녕 벚꽃 개화시기와 추천 명소, 실시간 현황
창녕 벚꽃 개화시기봄이 오면 많은 사람들이 기다리는 것 중 하나가 바로 벚꽃입니다. 그 중에서도 창녕 벚꽃 개화시기는 매년 많은 이들의 관심을 받습니다. 2023년에는 3월 중순부터 4월 초순에
geowin200.jhcin.kr
임플란트 과정의 요약
임플란트 과정은 약간의 준비와 시간이 걸리지만, 올바른 정보를 갖춘다면 당신의 치아 건강을 되찾을 수 있습니다. 시술 과정은 여러 단계로 나뉘지만, 각 단계가 중요하고 성공적인 결과를 보장하기 위해 필요한 점을 기억해 주세요. 지금까지 임플란트 시술과정을 알아보았는데요, 궁금한 점이 있다면 주저하지 말고 전문 의료진에게 상담받는 것이 좋습니다.
| 단계 | 소요 시간 | 비용 |
|---|---|---|
| 진단 및 상담 | 2~3일 | 상담비 |
| 임플란트 식립 | 1일 | 100~200만원 |
| 보철물 장착 | 1~2주 | 50~150만원 |
| 총 소요 시간 | 6개월~1년 | 총합 200~400만원 |